搜索
圈汇网 首页 知识汇 健康 查看内容

云南一医院打破异种肝肾移植纪录:在体联合工作11天

2026-2-13 23:36| 发布者:圈汇网| 查看:4| 评论:0|原作者: 圈汇网|来自: 网络整理

摘要:中新网昆明2月13日电 (陈静)昆明医科大学第一附属医院13日消息,该医院成功将一只六基因编辑猪的肝脏和肾脏移植到一名脑死亡受试者体内。术后,移植的异种肝脏与肾脏持续工作11天 ... ...

中新网昆明2月13日电 (陈静)昆明医科大学第一附属医院13日消息,该医院成功将一只六基因编辑猪的肝脏和肾脏移植到一名脑死亡受试者体内。术后,移植的异种肝脏与肾脏持续工作11天,创下全球异种肝肾联合移植存活时间最长纪录。

此次手术在清华大学附属北京清华长庚医院院长、中国工程院院士董家鸿的指导下,由昆明医科大学第一附属医院院长曾仲带领异种移植团队,于2026年1月31日历时十小时顺利完成。

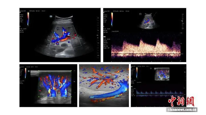
图片

术后B超检查显示,移植肝脏、肾脏血流灌注良好。昆明医科大学第一附属医院 供图

肝脏移植采用原位辅助部分肝移植术式,是本次研究的核心环节。与国内外同类研究常用的全肝替换有所不同,该术式保留受者部分自体肝脏,让异种肝脏与自体肝脏在体内同步协同工作,更接近未来临床应用中“桥接治疗”的真实场景——用猪肝暂时替代衰竭肝脏功能,为患者自体肝再生或等待人源供肝争取时间。这一术式选择,体现了团队从“证明可行”到“怎么用更好”的前瞻思考。

手术团队先行切除受者左半肝,对供肝进行精细修整后,再完成血管吻合,吻合严格遵循肝脏解剖结构,完整重建门静脉、肝动脉的入肝血流通道。血流开放后,胆管内很快可见金黄胆汁流出,标志着移植肝脏开始发挥功能。

在连续11天的严密观察期内,移植肝脏胆汁分泌功能持续稳定,每日平均胆汁量超150毫升,单日最高超200毫升,接近正常生理水平,达到目前全球异种肝脏移植可见报道的最佳水平。

肾脏移植采用经典异位移植术式,血流开放后,移植肾即刻色泽红润,尿液自输尿管顺利流出。观察期内,移植肾脏尿量逐渐增多,总尿量达4000余毫升,单日最高超1800毫升,达到正常生理状态。

本次移植使用的供体猪由中科奥格生物科技有限公司提供,来自国内自主培育的医用猪品系,符合DPF(无指定病原体)级生物安全标准。通过基因编辑技术精准敲除3个猪抗原基因、转入2个人补体调节蛋白基因和1个人凝血调节蛋白基因——以“六基因”的核心策略,有效应对异种器官移植中的免疫排斥与凝血紊乱两大核心障碍。

此次研究在全球范围内首次系统验证了基因编辑猪的肝脏与肾脏可在人体内协同工作超过十天,共同维持生命基本代谢需求,为中国乃至全球通过异种移植解决器官短缺难题提供了宝贵数据依据。

更值得关注的是,本次受者在术前即存在肝功能不全,同时伴有急性肾功能不全。在全身代谢状态已受双重打击的复杂条件下,移植的异种肝、肾仍能迅速启动功能、持续稳定工作11天,双双接近正常生理水平,为未来走向终末期患者临床应用提供了数据支撑。

曾仲表示,此次研究过程的每一步都经过严格的伦理审查、技术验证和充分的知情同意。第11天按计划终止研究,正是应受试者家属的要求。未来随着基因编辑技术的进一步优化、免疫抑制方案的改进,猪器官有望为无数器官功能衰竭患者带来重生的希望。(完)


路过

雷人

握手

鲜花

鸡蛋

最新评论

相关分类

图文热点

热门推荐